
Saignement des Gencives et Gingivite : Causes et Solutions
Le saignement des gencives n'est pas normal et peut être le signe d'une gingivite. Découvrez les causes fréquentes, les solutions efficaces et les bons gestes à adopter. Apprenez quand consulter au cabinet dentaire Maeva à Tana.
Dr. Francky DANIERO
1/25/20261 min read


Gencives qui saignent : ce que ça signifie (vraiment) et comment arrêter
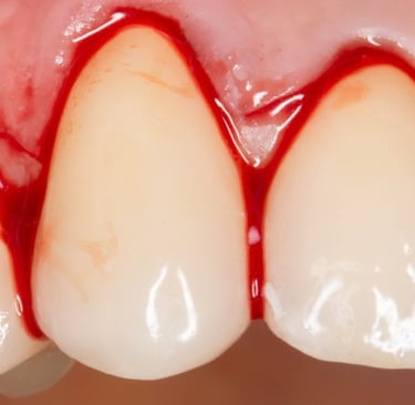
Des gencives qui saignent au brossage ne sont pas “normales”. Dans la majorité des cas, c’est le signal d’une inflammation liée à la plaque dentaire (souvent une gingivite). Bonne nouvelle : pris tôt, c’est souvent réversible avec les bons gestes et, si besoin, un détartrage. ()
Pourquoi mes gencives saignent ?
Les causes les plus fréquentes :
Plaque + tartre au bord de la gencive → irritation, rougeur, saignement. ()
Brossage trop agressif (brosse dure, pression) → micro-traumatismes.
Nettoyage interdentaire absent → la plaque s’accumule entre les dents (zone n°1 oubliée). ()
Parfois : carence d’hygiène, irritations locales, ou inflammation plus avancée (parodontite) si cela dure et s’aggrave. ()
Comment arrêter le saignement (efficacement)
Objectif : enlever la plaque sans blesser la gencive.
1) Brosser mieux (pas moins)
Brosse souple + geste doux, 2 minutes, 2×/jour.
Insister au bord gencive/dent (là où la plaque se fixe).
2) Nettoyer entre les dents (le vrai déclic)
Utiliser brossettes interdentaires (souvent plus efficaces) ou fil dentaire selon votre anatomie.
1×/jour, idéalement le soir. ()
3) Détartrage si nécessaire
Si le saignement revient malgré une bonne routine, le tartre peut entretenir l’inflammation : un détartrage + contrôle clinique accélèrent souvent l’amélioration. ()
Les erreurs qui empêchent la guérison
Arrêter de brosser parce que “ça saigne” (souvent, cela empire). ()
Utiliser une brosse dure ou frotter “pour nettoyer mieux”.
Se contenter d’un bain de bouche en pensant que ça remplace le brossage (non).
Quand faut-il consulter rapidement ?
Prenez rendez-vous si :
saignement quotidien depuis plus de 7–10 jours malgré une bonne routine,
gencives gonflées, douleur, mauvaise haleine persistante,
impression de dents qui “bougent”, sensibilité accrue, ou saignements spontanés.
